失明不再是無法逆轉的命運。由斯坦福大學與腦機介面創業者 Max Hodak(馬斯克 Neuralink 聯合創辦人)共同領導的團隊,成功研發出一款可恢復部分視力的「AI視網膜晶片」,為全球約500萬名因老年性黃斑部病變(AMD)失明的患者帶來重見光明的希望。該成果近日刊登於《新英格蘭醫學期刊》(NEJM),被視為視覺醫療科技的重要突破。

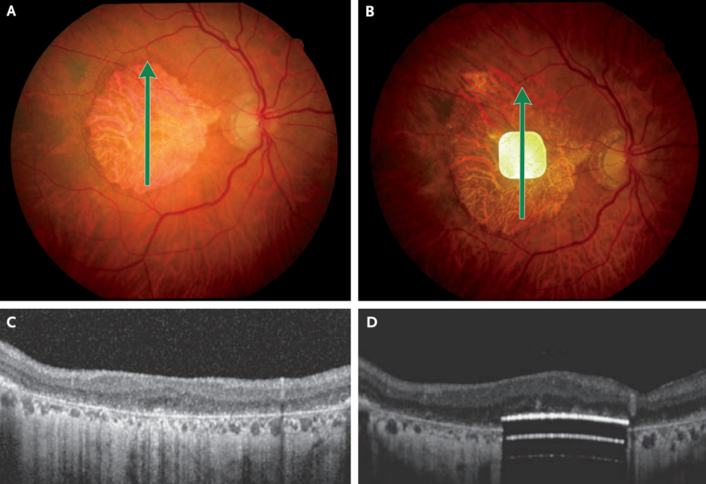
這項晶片名為 PRIMA(Photovoltaic Retina Implant Microarray,光伏視網膜植入微陣列),大小僅2毫米寬、30微米厚,比米粒還小。它可植入眼底取代已失功能的感光細胞,重新接收光信號並轉化為電刺激,傳遞至大腦形成影像。根據臨床試驗,38名晚期AMD患者在植入一年後,有高達80%(32人中的26人)視力獲得臨床顯著改善,平均能多辨識出25個字母。

AI眼鏡搭配微晶片 模擬「電子視覺」
這套系統由三部分組成:AI眼鏡、口袋處理器與視網膜晶片。眼鏡上的攝像頭負責捕捉外界影像,處理器再將畫面轉換為近紅外光投射到晶片上。晶片吸收紅外光後轉化為微電流,刺激視網膜神經元,最終由大腦解讀成畫面。整個過程只需短短六步,就能讓患者重新「看到」世界。
試驗於歐洲17家醫院進行,結果顯示患者可重新辨識字母與數字,且周邊視力不受影響。不過,研究團隊也指出,目前晶片解析度仍有限,僅有378個像素,視覺為黑白影像且閱讀速度緩慢。


突破背後的挑戰與風險
儘管成果令人振奮,但仍存在限制。研究未設立安慰劑對照組,部分學者質疑改善效果可能受「訓練或心理因素」影響。此外,雖然患者在視力表上的表現明顯提升,但日常生活便利度尚未有統計上的顯著改善。手術亦存在風險,試驗中出現26起嚴重不良事件,包括眼壓升高與視網膜脫離。
即便如此,業界仍普遍認為這是數十年來視覺重建領域的重大進展。斯坦福眼科教授、論文共同作者 Daniel Palanker 表示:「這只是第一代版本,未來晶片將具更高解析度,並搭配更時尚的AI眼鏡設計。」據悉,該技術的開發公司 Science Corporation 已於今年6月向歐洲監管機構申請上市認證。

AI輔助視覺 從醫療走向普及應用
除醫療植入外,AI視覺輔助技術也正在以更平價的方式造福視障族群。新一代AI眼鏡能即時辨識環境,將視覺資訊轉換為語音提示,例如協助用戶識別紅綠燈、避開障礙物,甚至告訴他們前方商店的活動資訊。


專家指出,許多「無障礙科技」最初為少數族群設計,最終卻改善了所有人的生活體驗。正如路邊斜坡原為輪椅使用者設計,如今卻方便了推嬰兒車與拖行李的民眾。AI視覺技術的發展,或將重現這樣的普及效應。
隨著AI與腦機介面技術融合,讓盲人「重見光明」不再只是科幻情節,而是逐步成真的醫療革新。未來,當科技以人性化思維出發,不僅能讓視障者重拾希望,也將重新定義人類「看見世界」的方式。


